Credit: Dr Laughlin Dawes
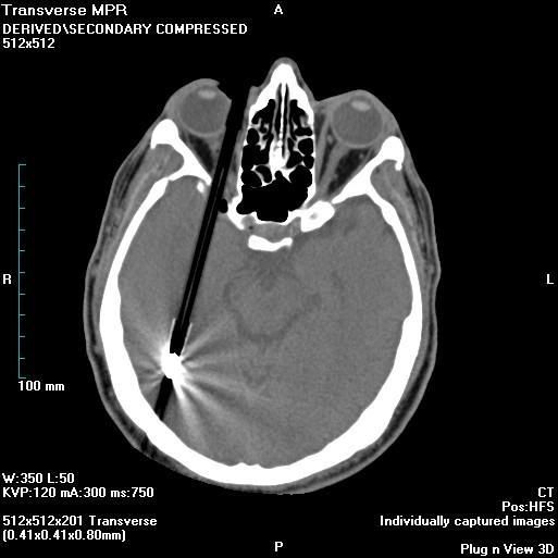
"This patient presented with a self-harm injury. The axial CT scan shows a ball-point pen in-situ. The pen missed optic nerve, middle cerebral artery and any eloquent brain. A cerebral angiogram was performed which was normal except for truncation of the ophthalmic artery. The pen was removed under flouroscopic guidance. Upon removal, there was brisk bleeding from the ophthalmic artery. Endovascular embolisation of the bleeding vessel was performed with coils, with good result. The patient’s pupil remains reactive, suggesting a good prognosis for the optic nerve and the patient’s vision. "
*NOTE: I'm not saying this guy is EMO (self-harm injury), but it wouldn't be funny if he wasn't.![]()
![]()
SOURCE





Reply With Quote
